×

Casi clinici

Richiedi un preventivo

Risposta diretta dal medico · Nessun intermediario · Nessun impegno

Risultati documentati

In questa sezione presentiamo alcuni casi clinici reali trattati presso la Clinica Dentale Bilek. Le immagini e le descrizioni hanno un obiettivo preciso: aiutare il paziente a capire che cosa è stato fatto, perché è stato scelto un certo piano di trattamento e quali aspetti richiedono una valutazione personalizzata.

Per ragioni di privacy, eventuali dettagli identificativi vengono rimossi. Le fotografie sono utili per illustrare i risultati, ma non sostituiscono la visita: ogni bocca ha condizioni biologiche (osso, gengiva, occlusione) che cambiano indicazioni e tempi.

Come leggere un caso clinico

In odontoiatria una foto “prima/dopo” è solo una parte del lavoro. Nei casi sotto troverai anche elementi che in clinica consideriamo essenziali per definire prognosi e stabilità nel tempo:

  • Diagnosi e indicazione: qual era il problema principale (funzione, estetica, perdita di denti, frattura).
  • Scelta terapeutica: perché una soluzione è preferibile a un’altra (ad esempio rimovibile vs avvitata).
  • Gestione dei tessuti: la gengiva e l’osso condizionano il risultato, soprattutto nell’area frontale.
  • Manutenzione: igiene domiciliare e controlli; è ciò che rende il risultato replicabile nel tempo.

Variabili cliniche che cambiano il piano di trattamento

Due pazienti possono “sembrare” simili in foto, ma richiedere cure diverse. Nella pratica clinica, le differenze più frequenti che influenzano tempi, complessità e tipo di protesi sono:

  • Qualità e quantità di osso (volumi disponibili per l’impianto; necessità o meno di rigenerazione).
  • Condizioni parodontali (infiammazione gengivale, mobilità dentale, storia di parodontite).
  • Occlusione e parafunzioni (bruxismo: aumenta i carichi su denti e impianti).
  • Igiene e manualità (la facilità di pulizia è un criterio clinico, non “solo comodità”).

Per questo motivo descriviamo i casi con criteri clinici concreti: cosa si può aspettare e cosa invece deve essere valutato con esami e visita.

Selezione di casi

Il primo caso riguarda una riabilitazione di arcata con protesi semifissa su impianti. Il secondo caso è un esempio di riabilitazione estetica con corone in ceramica, con obiettivo di armonia del sorriso. Il terzo caso descrive una riabilitazione implantoprotesica su incisivo dopo frattura, con attenzione alla gengiva.

Caso clinico 1

Riabilitazione completa con protesi semifissa su impianti: stabilità in funzione e igiene domiciliare facilitata.

Riabilitazione completa delle arcate dentarie con protesi semifissa supportata da impianti:
La riabilitazione di un’arcata edentula o gravemente compromessa può essere eseguita con una protesi stabilizzata da 4 impianti per arcata. È una soluzione frequentemente indicata quando il paziente desidera stabilità durante la masticazione, mantenendo però la possibilità di rimuovere la protesi per l’igiene.

Nota clinica: la scelta di attacchi (ad esempio locator) consente ritenzione e stabilità, ma con accesso quotidiano alla pulizia. La manutenzione riduce il rischio di infiammazione peri-implantare e facilita controlli nel tempo.

Semifissa rimovibile vs fissa avvitata: cosa cambia davvero

Esistono soluzioni con logiche diverse:

  • Protesi rimovibile stabilizzata su impianti: si rimuove per l’igiene; indicata quando la pulizia quotidiana deve essere semplice e affidabile.
  • Protesi fissa avvitata su impianti (es. All-on-4 / Toronto Bridge): resta in bocca; l’igiene richiede manovre più complesse e controlli rigorosi.

La scelta dipende da anatomia, occlusione, tessuti e capacità di manutenzione.

Dopo l’inserimento degli impianti: cosa è normale e cosa richiede controllo

Nelle prime settimane, possono essere normali gonfiore, fastidio alla pressione e necessità di piccoli ritocchi della protesi. È invece opportuno contattare la clinica se compaiono dolore pulsante, secrezione, alito molto alterato persistente o instabilità.

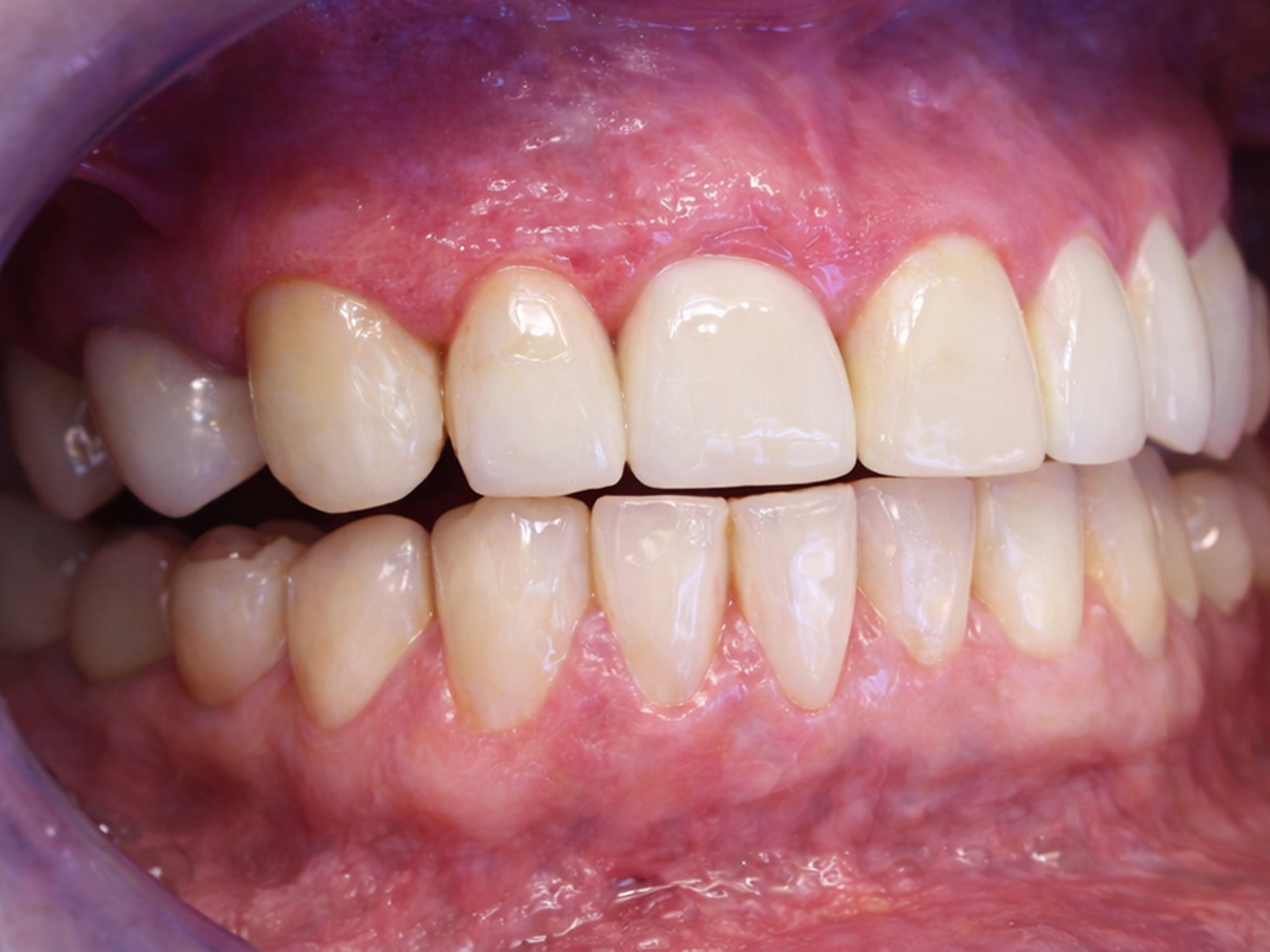
Caso clinico 2

Riabilitazione estetica con corone in ceramica: ripristino di forma, proporzioni e armonia del sorriso.

Il caso presentava un problema estetico legato a denti usurati e spazi interdentali. È stata indicata una riabilitazione con corone in ceramica per ripristinare forma, contatti e proporzioni in modo prevedibile.

  • Ripristino di lunghezza e forma dei denti
  • Chiusura degli spazi interdentali
  • Miglioramento di simmetria e proporzioni
  • Uniformità cromatica con aspetto naturale

Quando la corona è indicata (e quando serve prudenza)

Prima di procedere valutiamo sempre occlusione (bruxismo), quantità di smalto residuo e condizioni gengivali, per definire un progetto stabile e controllabile nel tempo.

Colore, traslucenza e naturalezza: cosa si può ottenere

La ceramica permette di gestire traslucenza e intensità del colore. Per un effetto naturale, la tonalità viene scelta per integrarsi con il volto e con eventuali denti non trattati, evitando contrasti eccessivi.

Riferimenti collegati a questa tipologia di lavoro:

listino prezzi · testimonianze dei pazienti · richiesta di valutazione e preventivo

Caso clinico 3

Incisivo fratturato: estrazione atraumatica, impianto e gestione dei tessuti per un profilo gengivale naturale.

Il paziente presentava una frattura dell’incisivo centrale non recuperabile. È stata eseguita estrazione atraumatica e pianificata una riabilitazione implantoprotesica per evitare il coinvolgimento dei denti adiacenti.

  • Estrazione atraumatica con preservazione dei tessuti
  • Inserimento dell’impianto nella sede edentula
  • Modellazione dei tessuti per un profilo di emergenza naturale
  • Corona su impianto armonizzata con i denti vicini

Impianto su incisivo: i punti critici in zona estetica

Il risultato dipende da biotipo gengivale, posizionamento tridimensionale dell’impianto e gestione del profilo di emergenza, oltre che dalla qualità della corona finale.

Dopo estrazione e impianto: cosa aspettarsi

Nelle prime 48–72 ore sono comuni gonfiore e lieve dolore. È importante segnalare prontamente dolore in aumento, sanguinamento persistente o sensazione di mobilità della parte provvisoria.

Approfondimenti collegati a impianto e riabilitazione:

impiantologia e impianto dentale · richiesta di valutazione e preventivo · la clinica

Clinica Dentale Bilek si trova a Opatija (Abbazia), vicino a Rijeka (Fiume), ed è facilmente raggiungibile da molte città del Nord Italia.

FAQ – Domande frequenti sui casi clinici

Una foto “prima/dopo” basta per capire se quel trattamento è adatto a me?

No. La foto mostra l’estetica, ma non indica parametri clinici essenziali: quantità di osso, stato gengivale, occlusione, abitudini come bruxismo e condizioni generali. I casi clinici servono come esempio di approccio, non come “promessa” replicabile.

Perché in alcuni casi preferite una soluzione rimovibile su impianti invece di una fissa avvitata?

Perché la scelta dipende anche dalla manutenzione. Una protesi rimovibile stabilizzata su impianti può rendere l’igiene quotidiana più semplice e controllabile. Nei pazienti in cui la pulizia è un fattore critico, questo può ridurre complicanze infiammatorie.

Quanto conta l’igiene nel risultato a lungo termine?

Moltissimo. Su denti naturali e su impianti, la stabilità nel tempo dipende dalla gestione della placca e dai controlli periodici. La protesi “perfetta” senza manutenzione tende a peggiorare, soprattutto attorno agli impianti.

Nel caso dell’incisivo su impianto, cosa rende difficile ottenere un risultato naturale?

La zona estetica dipende dai tessuti: biotipo gengivale, posizione del margine gengivale, papille tra i denti e volume osseo. La corona è solo l’ultima parte; la gestione dei tessuti e la provvisorizzazione guidano il profilo di emergenza.

“Spazi tra i denti” e usura: le corone sono sempre la prima scelta?

Non sempre. Dipende dall’entità dell’usura, dalla quantità di tessuto residuo e dall’occlusione. In alcuni casi sono possibili soluzioni più conservative; in altri, la corona è indicata per ripristinare forma e contatti in modo stabile.

Quali esami servono di solito per valutare una riabilitazione su impianti?

In genere sono utili radiografie e, quando indicato, un esame 3D (CBCT) per valutare volumi ossei e anatomia. La decisione dipende dal singolo caso e viene definita dopo visita e analisi clinica.

Vuoi capire se siamo la clinica giusta per te?

Inviaci la tua situazione e riceverai una risposta onesta e professionale, senza pressioni commerciali.

Richiedi un preventivo

Clinica Dentale Bilek si trova a Opatija (Abbazia), vicino a Rijeka (Fiume), ed è facilmente raggiungibile da molte città del Nord Italia.

Per conoscere meglio la clinica

Se vuoi valutare affidabilità, esperienza, testimonianze e modalità di contatto, queste sono le pagine più utili da vedere insieme.

La clinica dentale Bilek a Opatija Testimonianze dei pazienti Opinioni e recensioni sul dentista in Croazia Dentisti qualificati e affidabili in Croazia Dentisti a Opatija (Abbazia) in Croazia Dentista in Croazia per chi parte da Trieste
WhatsApp